Caso de trombosis venosa de miembro inferior (TVP), donde hay que tener en cuenta una serie de hallazgos para determinar en qué corte nos encontramos y cuál es el vaso afectado.

Para ello, vamos a hacer un repaso rápido de la anatomía venosa de los MMII


Sistema profundo: sigue trayecto paralelo a las arterias.
Vena femoral común, medial a la arteria femoral común. Aquí drena en el sistema profundo la vena safena grande (unión safeno-femoral), a este nivel vemos la arteria femoral superficial y la arteria femoral profunda, y se halla la válvula safeno-femoral, importante en la valoración venosa de MMII. Se divide en:
- Vena femoral: recorrido inicial medial a la arteria femoral superficial, haciéndose posterior caudalmente. Al pasar a nivel distal por el canal de Hunter pasa a llamarse vena poplítea, superficial a la arteria poplítea desde un abordaje posterior en la pierna. La vena poplítea se divide en:
- Venas tibiales anteriores
- Tronco tibio-peroneo que se bifurca en las venas peroneas, adyacentes a la arteria peronea y mediales a la cara posterior del peroné, y las venas tibiales posteriores.
- Vena femoral profunda
- Vena femoral profunda
- Vena femoral: recorrido inicial medial a la arteria femoral superficial, haciéndose posterior caudalmente. Al pasar a nivel distal por el canal de Hunter pasa a llamarse vena poplítea, superficial a la arteria poplítea desde un abordaje posterior en la pierna. La vena poplítea se divide en:
- Sistema superficial:
- Sistema safeno interno o mayor: se continúa con la vena marginal medial del pie y asciende por la cara medial de la pierna y el muslo hasta la unión safeno-femoral a nivel de la ingle.
- Sistema safeno externo o menor: se origina detrás del maléolo lateral como continuación de la vena marginal lateral del pie, y asciende posterior por la pantorrilla, en el compartimento interfascial.
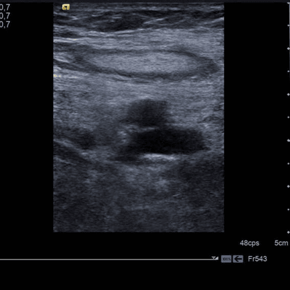
Tromboflebitis superficial queda descartado, al ser plano profundo. En la siguiente imagen vemos un ejemplo de flebitis con la grasa hiperecogénica debido a la inflamación.

⚠️ Por tanto, tenemos una imagen con arteria (pulsátil en doppler) en plano profundo y un vaso sin flujo más superficial. Por esta distribución de vena superficial a la arteria, podemos confirmar que es la vena poplítea trombosada, no comprimible y sin doppler.
Imágenes recopiladas de "Ecografía a pie de cama. Nilan J. Soni, Robert Arntfield".

